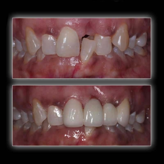
Customized Care for Every Stage of Your Dental Journey
Experience personalized dental care with state-of-the-art technology and a warm, compassionate team. From preventive cleanings to advanced cosmetic treatments, we’re committed to making your smile healthy, confident, and radiant.

